CASE OF THE MONTH
SEPTEMBER 2023
Submitted by Aditya Bharatha MD FRCPC and Amy Chen MD FRCPC, Division of Neuroradiology, St. Michael’s Hospital, Unity Health, University of Toronto.
​
35M post-craniectomy for hemorrhagic transformation of right MCA infarct. Increasing bulge at craniectomy site.



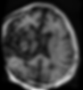
Post-op CT from 2 days earlier




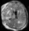
0.064T Hyperfine Swoop portable MRI at bedside
DIAGNOSIS
pMRI Findings:​
-
Increased external herniation of brain through right craniectomy site with “mushrooming” of brain tissue.
-
Right frontoparietal residual hemorrhage and edema extending to right basal ganglia.
-
Stable ventricular size.
-
New mild rightward midline shift.

Diagnosis: Increased / excessive external brain herniation through craniectomy site with mushrooming and ipsilateral shift. Managed with contralateral EVD.

Followup CT confirming worsening external brain herniation and mild rightward midline shift. Placement of EVD into contralateral lateral ventricle.